1231 de noi cazuri de COVID-19, în România
Un număr de 1.231 de cazuri noi de persoane infectate cu SARS-CoV-2 au fost înregistrate, faţă de ultima raportare, în urma testelor efectuate la...
DSP: Liceul din Mătăsari și două grupe de la o grădiniță din Tg. Jiu,...
Liceul din Mătăsari se închide de luni, a decis DSP Gorj, după ce profesorii unității de învățământ au intrat în izolare. Un elev și...
Medalie de argint pentru un liceean din Târgu-Jiu la Olimpiada Central Europeană de Informatică
Giovani Popescu, elev la Colegiul Național ”Tudor Vladimirescu” din Târgu-Jiu, a obținut medalia de argint la cea de-a XXX ediţie aniversară a Olimpiadei Central...
Școli închise de alegeri
Premierul Ludovic Orban a declarat că şcolile care vor găzdui secţii de votare vor fi închise o zi sau două, însă cursurile nu vor...
Ciolacu a bătut palma cu Ponta
Marcel Ciolacu a anunțat că a semnat cu Victor Ponta un acord post-electoral, în baza căruia PSD şi Pro România vor putea constitui majorităţi...
18 noi infectări cu COVID-19, în Gorj
În data de 19 septembrie 2020, ora 14.00, situația epidemiologică, la nivelul județului Gorj, se prezintă astfel: 631 persoane în carantină la domiciliu/locația declarată;
...
S-au stabilit sumele pentru plata ajutorului de stat pentru creşterea animalelor!
Ministerul Agriculturii a stabilit, printr-un proiect de hotărâre de Guvern, publicat astăzi site-ul oficial, sumele pentru plata ajutorului de stat, pentru anul 2020, pentru...
Doze de bere, la vânzare în chioșcul școlii
Odată cu începerea anului școlar, Poliția Locală a Municipiului Târgu Jiu a reluat activitățile de verificare a agenților economici care își desfășoară activitatea în...
Donație pentru trei spitale din Gorj
Filiala Gorj a Societatii Nationale de Cruce Rosie din Romania a donat astazi la o parte dintre spitalele cu pacienti diagnosticati pozitiv cu COVID-19...
În acest weekend, se închide circulația pe tronsonul Novaci-Rânca
ATENȚIE!! CIRCULAȚIE RESTRICȚIONATĂ PE TRANSALPINA!
În perioada 19-20 septembrie pe tronsonul Rânca - Novaci se desfășoară etapa de viteză în coastă, ”Transalpina Challenge”. Circulația va...
Ciolacu, șeful PSD, surprins de întâlnirea cu mătușa sa din Bălești!
Marcel Ciolacu, președintele PSD, aflat în vizită la Bălești, a fost întâmpinat la Primăria din localitate de către mătușa sa din localitatea gorjeană și...
Cioloș vine sâmbătă în Gorj
Copreședintele USR PLUS, Dacian Cioloș, va fi prezent sâmbătă, 19 septembrie, la Târgu-Jiu, pentru a-i susține pe candidații Alianței USR PLUS la alegerile locale.Dacian...
A crescut numărul școlilor în scenariul roșu
Ministerul Educației și Cercetării monitorizează dinamica scenariilor de funcționare a unităților de învățământ preuniversitar, la nivel național, aceasta fiind influențată de evoluția situației epidemiologice...
18 cazuri noi de COVID-19, în Gorj
În data de 18 septembrie 2020, ora 14.00, situația epidemiologică, la nivelul județului Gorj, se prezintă astfel: 626 persoane în carantină la domiciliu/locația declarată;
...
Proprietarul unui atelaj din Târgu Jiu, sancționat de agenții de la Locală
Astăzi, în jurul orei 10:00, polițiștii locali au depistat un atelaj pe Calea Severinului din municipiul Târgu Jiu, conducătorul acestuia fiind sancționat contravențional în...
O nouă grădiniță își deschide, de luni, porțile la Târgu Jiu
Lucrările la Grădinița nr. 15 din zona 1 Mai Vest Târgu Jiu au fost finalizate. Unitatea este amenajată într-o fostă centrala termică din strada...
Ion Iordache va candida la Senat. Cine îl susține!
Omul de afaceri Ion Iordache este susținut de PNL pentru alegerile parlamentare. Iordache va fi primul pe lista de la Senat, în vreme de...
Avarie la rețeaua de apă pe strada Comuna din Paris
Echipele Aparegio Gorj intervin pe strada Comuna din Paris din Târgu-Jiu pentru remedierea avariei la conducta de apă potabilă ce alimentează blocul 13. Avaria...
59 de elevi din Gorj, în izolare din cauza coronavirusului
Potrivit Inspectoratului Școlar Județean Gorj, în momentul de față 59 de elevi din județul nostru se află în izolare. De asemenea, pe lângă cazurile...
Elevii își aleg reprezentanții în consiliile de administrație ale școlilor
În această perioadă se desfășoară alegeri pentru desemnarea reprezentanților elevilor în consiliile de administrație ale școlilor. Elevii interesați au termen până pe 20 septembrie...
De azi încep plățile APIA!
Ministrul Agriculturii, Adrian Oros, a anunțat ieri faptul că de astăzi, 18 septembrie 2020, începe plata ajutorului de stat pentru fermierii ale căror culturi...
Locuitorii din Drăgoieni se pot racorda la noua rețea de canalizare
"Cetățenii din zona Dragoeni pot iniția demersurile pentru racordarea la noua rețea de canalizare. Lucrările au ajuns la final și am făcut o recepție...
Încep evenimentele proiectului „Din dragoste pentru Brâncuși”!
Sambata, 19 septembrie 2020 ora 10:30, în Parcul Central din Targu Jiu, se deschide seria de evenimente derulate in cadrul proiectului "Din dragoste pentru...
Ciolacu vine în Gorj
Marcel Ciolacu, președintele PSD, ajunge vineri în Gorj. El se va opri mai întâi în comuna Bălești, după care va vizita Centrul de Permanență...
Deșeuri abandonate pe Dealul Târgului! Se lasă cu amenzi!
Astăzi, comisarii Gărzii de Mediu Gorj, au identificat o altă locație unde se abandonează deșeuri. Este vorba de "Dealul târgului" - Tg. Jiu. De...
Începe selecția profesorilor evaluatori
Ministerul Educației și Cercetării a lansat astăzi, 17 septembrie, prin Centrul Național de Politici și Evaluare în Educație (CNPEE), apelul de selecție destinat cadrelor...
Câte paturi ATI sunt în spitale pentru copiii cu COVID-19
Ministrul Sănătăţii a anunțat că, în acest moment, pentru copiii diagnosticaţi cu COVID-19 care ar avea nevoie de terapie intensivă, în spitalele din Bucureşti...
300 de unități de învățământ din țară, în scenariul roșu
Potrivit Ministerului Educației și Cercetării astăzi, 17 septembrie, în conformitate cu datele transmise de inspectoratele școlare județene (inclusiv Inspectoratul Școlar al Municipiului București), la...
15 noi cazuri de COVID-19, în Gorj
În data de 17 septembrie 2020, ora 14.00, situația epidemiologică, la nivelul județului Gorj, se prezintă astfel: 616 persoane în carantină la domiciliu/locația...
Spitalul Rovinari a marcat Ziua Mondială a Siguranței Pacientului
Astăzi, cu ocazia Zilei Mondiale a Siguranței Pacientului, Spitalul Orășenesc „Sf. Ștefan” Rovinari a acceptat invitația Agenției Naționale de Management al Calității în Sănătate...
Mihai Leu, prezent în acest weekend la Transalpina Challenge
Mihai Leu, campion la Categoria I, cu Ferrari 458 Challenge, alături de alți peste 80 piloți vor concura la Transalpina Challenge (19-20 septembrie).Atenție! Sâmbătă,...
1.679 de noi cazuri de COVID-19, în România
1.679 de cazuri noi de persoane infectate cu SARS-CoV-2 au fost înregistrate, faţă de ultima raportare, în urma testelor efectuate la nivel naţional, potrivit...
Ponta: Noi suntem opoziția
Preşedintele Pro România, Victor Ponta, spune că partidul pe care îl conduce va rămâne în opoziţie, după alegerile parlamentare. Deputatul de Gorj crede că PSD...
FOTO: Mistreț pe DN 66, un șofer nu l-a mai putut evita
O mașină a fost grav avariată, dar și un porc mistreț a murit, azi noapte, după ce a fost lovit din plin de un...
„RURAL FEST”, la ediția a II-a
Manifestarea „RURAL FEST”, organizată de către Centrul Judeţean pentru Conservarea şi Promovarea Culturii Tradiţionale Gorj, va fi inclusă și anul acesta în cadrul Festivalului...
Șofer cercetat pentru trei infracțiuni
Un tânăr în vârstă de 22 de ani, din comuna Vladimir, a fost depistat de polițiști, în timp ce conducea, un autoturism, pe DJ...
În arest, după ce a distrus un aparat de jocuri de noroc
Tânărul în vârstă de 30 de ani, din Plopșoru, care ieri dimineață a făcut scandal și a spart un aparat de jocuri de noroc,...
„Năzdrăvanii”, duminică, la Teatrul de Vară
Copiii de toate vârstele sunt invitați duminică, 20 septembrie 2020, la Teatrul de Vară din Târgu Jiu, începând cu ora 11:00, la piesa ”Năzdrăvanii”,...
Renumiți specialiști, invitați la workshop-ul organizat de UCB Târgu Jiu
Mâine, 18 septembrie, Facultatea de Științe Economice din cadrul Universității ,,Constantin Brâncuși” din Târgu-Jiu va organiza workshop-ul online intitulat ,,Digitalizarea și piața forței de...
Se ia apa în cartierul Slobozia!
APAREGIO GORJ SA anunță întreruperea furnizării apei potabile joi, 17.09.2020, în intervalul orar 09.30-12.00 în cartierul Slobozia din Târgu-Jiu. Întreruperea furnizării apei potabile este...
Vernisaj la Galeriile Municipale de Artă
Filiala Târgu Jiu a UAP din România, în parteneriat cu Centrul de Cercetare, Documentare și Promovare "Constantin Brâncuși", organizează joi, 17 septembrie, ora...
12 cazuri noi de COVID-19 și încă un deces, în Gorj
În data de 16 septembrie 2020, ora 14.00, situația epidemiologică, la nivelul județului Gorj, se prezintă astfel: 550 persoane în carantină la domiciliu/locația declarată;
...
Vezi anunțul UCB Târgu Jiu!
Facultatea de Științe Economice a Universității „Constantin Brâncuși” din Târgu Jiu va organiza începând de vineri, 18.09.2020, ora 19.00, Workshop-ul online cu titlul „Digitalizarea...
Poluare cu apă sărată, la Căpreni
Efectuând acțiuni de control în zona Căpreni, comisarii Gărzii de Mediu Gorj au identificat mai multe poluări accidentale cu apă sărată, care au condus...
Deputatul Văcaru nu are coronavirus
Președintele Pro România Gorj, deputatul Alin Văcaru, nu este infectat cu noul coronavirus. „Azi, am primit rezultatul testului Covid 19 și este NEGATIV! Aștept...
Familia Școlii Populare de Arte „Constantin Brâncuși” s-a mărit
Începând cu anul școlar 2020-2021, violonistul Robert Florian Mustățea se alătură Școlii Populare de Arte ”Constantin Brâncuși” Târgu Jiu.
În prezent, el este colaborator al...
Paznic găsit mort la locul de muncă
În dimineața acestei zile a fost gasit un agent de paza mort la locul de munca, la Bumbesti-Jiu. Inspectorii de muncă se află acum...
A spart aparatul de jocuri de noroc, după ce a pierdut la ,,păcănele”
Polițiști din cadrul Poliţiei Municipiului Târgu-Jiu au fost sesizați, în această dimineață, de un reprezentant al unei societăți de asigurare a pazei și protecției,...
Ioana Talău nu mai conduce Casa de Pensii Gorj!
Ioana Talău, șefa Casei Județene de Pensii Gorj, s-a pensionat. Locul acesteia este ocupat acum, în interimat, de către Daniela-Negoiță Holdon, cea care, până...
FOTO: Accident cu victime la Ursați
Un eveniment rutier a avut loc, în această după amiază, la Ursați. În urma impactului dintre autoturism și o căruță, două persoane au fost...
Proprietarii de case pot primi până la 15.000 de euro
Proprietarii de case pot depune, începând de astăzi, cereri de finanţare pentru a-şi eficientiza energetic imobilele. Ei pot primi până la 15.000 de euro...
14 noi cazuri de infectare cu COVID-19, în Gorj
În data de 15 septembrie 2020, ora 14.00, situația epidemiologică, la nivelul județului Gorj, se prezintă astfel: 492 persoane în carantină la domiciliu/locația declarată;
...
O nouă expoziție la CJCPCT Gorj
Centrul Județean pentru Conservarea și Promovarea Culturii Tradiționale Gorj organizează o nouă expoziție în sala „Florin Isuf”. „Petale de vis” se numește expoziția de...
Elev de la Școala ”Sfântul Nicolae”, confirmat cu coronavirus
Un elev de la Școala ”Sfântul Nicolae” din Târgu-Jiu a fost confirmat cu infecție cu coronavirus. Momentan, ancheta epidemiologică este în curs.
Un nou caz de violență între minori: Fetiță din Motru, pălmuită de altele
Un nou filmuleț cu violențe între copii din județul Gorj a apărut în spațiul public. De această dată victima este o fetiță din Motru,...
Tâlhărie la Samarinești: I-au furat actele firmei, telefoanele, dar și un laptop
Polițiști din cadrul Secției 3 Poliție Rurală Motru au fost sesizați, duminică, prin apelul 112 de un bărbat, de 50 de ani, din comuna...
Candidat la primărie, agresat de un alt aspirant la fotoliul de edil
Rivalitatea între aspiranții la fotoliile de primar este tot mai mare. Așa se face că un candidat la Primăria Telești a cerut, ieri, ajutorul...
Scandal într-un bar la Mătăsari: I-a dat cu o sticlă în cap
Polițiști din cadrul Secţiei 3 Poliţie Rurală Motru au fost sesizați, ieri, prin apelul 112 de un bărbat, de 38 de ani, din comuna...
Diplomă de onoare din partea ministrului Vela pentru Salvamont România
"Ieri, 14 septembrie, în fața sediului MAI s-a desfășurat un eveniment dedicat Zilei Pompierilor Români, eveniment la care salvatorii de vieți omenești, salvatori speciali...
Focar de boala limbii albastre, în județul vecin Gorjului
În data de 03.09.2020 a fost declarat un focar de boala limbii albastre (bluetongue) ca urmare a confirmării unui caz singular de infecție cu...
Campanie de reciclare a electrocasnicelor vechi, azi, la Rovinari
Astăzi, între orele 10:00- 15:00, are loc, în orașul Rovinari, o amplă campanie de strângere a electrocasnicelor vechi. ”Sună la numărul 031.827.0000 și cineva...
Noi verificări la depozitul de deșeuri din Târgu Jiu! A fost sesizat Parchetul!
”Având în vedere disconfortul creat de depozitul de deșeuri municipale Tgărgu Jiu asupra locuitorilor din apropiere, Garda de Mediu Gorj a solicitat Administrației Bazinale...
Plan de măsuri de combatere a delincvenței juvenile, pus la punct de președintele CJ...
În scopul identificării unor măsuri concrete privind prevenirea și combaterea violenței în rândul minorilor cu aplicabilitate imediată pe plan local, președintele Consiliului Județean Gorj, ...
4 posturi de expert, vacante la Direcția de Statistică Gorj
Direcţia Judeţeană de Statistică Gorj organizează concurs de recrutare pentru ocuparea pe perioadă determinată a funcțiilor contractuale de execuție, vacante, în vederea efectuării activităților privind Recensământul...
Starea de alertă, prelungită cu 30 de zile
Guvernul a prelungit, în ședința de luni, starea de alertă, cu aplicare de marți, 15 septembrie. Secretarul de stat în MAI, Raed Arafat, a...
Mâine, ultima zi pentru solicitarea la APIA a despăgubirilor pentru secetă
Agenţia de Plăţi şi Intervenţie pentru Agricultură (APIA) reaminteşte că cererile de solicitare a ajutorului de stat acordat producătorilor agricoli care au înfiinţat culturi...
6 cazuri noi de COVID-19, în Gorj
În data de 14 septembrie 2020, situația epidemiologică, la nivelul județului Gorj, se prezintă astfel:- 508 persoane în carantină la domiciliu/locația declarată;- 1741 persoane...
Femeie bătută de concubin, bărbatul i-a dat foc și la haine
Polițiști din cadrul Poliției Municipiului Târgu-Jiu au fost sesizați, vineri, prin apelul 112 de o femeie, de 51 de ani, din comuna Stănești, despre...
Prins cu o alcoolemie de peste 1 la mie
Polițiști din cadrul Poliţiei Orașului Târgu Cărbunești au depistat, azi-noapte, în trafic un localnic, de 33 de ani, în timp ce conducea un autoturism,...
UPDATE: Elevii de Turceni au intrat la ore
Elevii claselor I-IV din Turceni au intrat astăzi la ore. O învățătoare a fost confirmată cu coronavirus, dar au fost luate măsuri de suplinire...
Zeci de cadre didactice de la Novaci și Turceni, în carantină
Circa 30 de cadre didactice de la Liceul Teoretic Novaci au intrat în carantină după ce unul dintre ei a fost confirmat cu coronavirus....
Gorj: Persoană infectată cu COVID-19, reconfirmată pozitiv
Un număr de 364 de persoane au fost retestate şi reconfirmate pozitiv cu COVID-19, a anunţat, duminică, Grupul de Comunicare Strategică (GCS).Distribuţia pe judeţe...
Telverde pentru copiii și adulții instituționalizați
Autoritatea Națională pentru Drepturile Persoanelor cu Dizabilități, Copii și Adopții (ANDPDCA), Consiliul Tinerilor Instituționalizați (CTI), Centrul de Resurse Juridice (CRJ) și Reprezentanța UNICEF în...
Festivalul „Coborâtul oilor de la munte” se va desfășura online
Primăria şi Consiliul Local Baia de Fier, Căminul Cultural „Ion Niţulescu" Baia de Fier și CJCPCT Gorj organizează on-line cea de-a XXVIII-a ediţie a...
Debut de an școlar în straie noi la mai multe unități de învățământ din...
”Cele mai recente investiții ale noastre le puteți vedea în unitățile de învățământ din Târgu Jiu, odată cu începerea noului an școlar. Clasele Colegiului...
Încă 9 cazuri de COVID-19, în Gorj
În data de 13 septembrie 2020, ora 14.00, situația epidemiologică, la nivelul județului Gorj, se prezintă astfel: 417 persoane în carantină la domiciliu/locația declarată;
...
Calendarul examenului de Bacalaureat, publicat în Monitorul Oficial
Calendarul de desfăşurare a examenului de Bacalaureat 2021 a fost publicat în Monitorul Oficial. În cazul sesiunii iunie - iulie, probele scrise încep pe...
Un milion de lei pentru rețeaua de gaze din Tismana
Veste bună pentru locuitorii din orașul Tismana. Localitatea a primit un milion de lei de la guvern pentru lucrările de introducere a gazelor în...
Guvernul discută luni prelungirea stării de alertă
Guvernul discută luni prelungirea stării de alertă. „Vom prelungi starea de alertă şi discutăm evident nişte măsuri să mai reducem din restricţii. Am să...
Arafat: Va fi o perioadă dificilă
Secretarul de stat în MAI, Raed Arafat, a transmis un mesaj înainte de începerea școlii. Acesta spune că va urma o perioadă dificilă și...
Școlile din județ au primit măști de protecție
În urma verificărilor tuturor unităților școlare înaintea începerii anului școlar 2020-2021, Inspectoratul Școlar Județean Gorj a suplimentat sau, după caz, a asigurat un minim...
O nouă acțiune a salvamontiștilor gorjeni
Acțiune în derulare a salvamontiștilor gorjeni din cadrul Serviciului Public Salvamont al Consiliului Județean Gorj pentru salvarea unei persoane aflata în stare de epuizare...
13 noi cazuri de COVID-19, în Gorj
În data de 12 septembrie 2020, ora 14.00, situația epidemiologică, la nivelul județului Gorj, se prezintă astfel: 398 persoane în carantină la domiciliu/locația declarată;
...
Protest la Târgu Jiu împotriva exploatărilor ilegale de lemne
Duminică, 20 septembrie 2020, la Târgu Jiu, în Piața Prefecturii, între orele 17.00 și 19.00, se va organiza un protest împotriva exploatărilor ilegale de...
Reacția DGASPC Gorj despre angajata a cărei fiică a fost implicată în violențe
"În contextul apariției în rețelele de socializare a unor informații referitoare la incidentul violent în care au fost implicate 4 minore, facem următoarele precizări....
Încă 9 persoane infectate cu COVID-19, în Gorj
În data de 11 septembrie 2020, ora 14.00, situația epidemiologică, la nivelul județului Gorj, se prezintă astfel: 387 persoane în carantină la domiciliu/locația declarată;
...
Scenariul roșu pentru cinci școli din Gorj
Inspectoratul Școlar Județean Gorj a anunțat că în 5 școli din județ cursurile se vor desfășura după scenariul roșu. "În urma propunerilor înaintate de...
Școlile din Turceni, pregătite pentru noul an școlar
"Luăm măsurile necesare pentru a garanta siguranța elevilor noștri în contextul epidemiei de COVID-19! Începutul anului școlar ne va găsi pregătiți, cu instituții școlare...
Calendarul Evaluării Naționale, publicat în Monitorul Oficial
Calendarul de desfăşurare a Evaluării Naţionale pentru absolvenţii clasei a VIII-a în anul şcolar 2020 - 2021 a fost publicat în Monitorul Oficial. Potrivit...
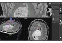
Compartiment de Neurochirurgie la SJU Târgu Jiu
"Înființarea unui compartiment de neurochirurgie are ca scop diagnosticarea și tratarea următoarelor patologii:- patologia spinală - una dintre cele mai frecvente patologii pentru care...
Studenții își vor putea rezerva online călătoria cu trenul
CFR Călători anunță că studenții își vor putea cumpăra bilete online sau de la automate, pentru reducerea timpului de așteptare la casele de bilete.CFR...
Bani pentru Gorj
Guvernul României a aprobat, în şedinţa de ieri, 10 septembrie, Hotărârea privind alocarea a 20,93 de milioane de lei din Fondul de intervenţie la...
Se ia apa la Preajba!
APAREGIO GORJ SA anunță întreruperea furnizării apei potabile vineri, 11.09.2020, în intervalul orar 10.30-14.00 în localitatea componentă Preajba din Târgu-Jiu. Întreruperea furnizării apei potabile...
A fost suplimentat numărul de posturi din învățământul preuniversitar
Numărul de posturi necesare pentru desfășurarea în condiții optime a activității în unitățile de învățământ preuniversitar de stat, în anul școlar 2020-2021, a fost...
Primul proiect de oraș pentru Târgu-Jiu, prezentat public de un candidat la primărie!
Luminița Georgeta Popescu, candidat Pro România la Primăria Târgu-Jiu, își prezintă acum, în cadrul unui eveniment public la care participă și europarlamentarul Corina Crețu,...
ADER lansează proiectul ”Din dragoste pentru Brâncuși”
Asociația pentru Democrație, Educație, Respect (ADER) implementează în perioada 15 septembrie – 15 octombrie 2020, proiectul ”Din dragoste pentru Brâncuși”. Proiectul este finanțat prin...
Curțile școlilor din Târgu Jiu, dezinfectate zilnic!
"De luni, în fiecare dimineață, începând cu ora 04:00, vom dezinfecta curțile unităților de învățământ din Târgu Jiu. Vom folosi autoutilitarele pe care le-am...
16 cazuri noi de COVID-19 și încă un deces, în Gorj
În data de 10 septembrie 2020, ora 14.00, situația epidemiologică, la nivelul județului Gorj, se prezintă astfel: 381 persoane în carantină la domiciliu/locația declarată;
...
Decizia procurorilor în cazul celor trei bătăuși
Cei trei tineri cu vârste cuprinse între 15 și 18 ani, din municipiul Târgu-Jiu, cercetați pentru lovire sau alte violențe, după ce și-au petrecut...
































































































































